• home
  • About
  • Services
  • Blogs
  • Get in touch
  • Invisalign

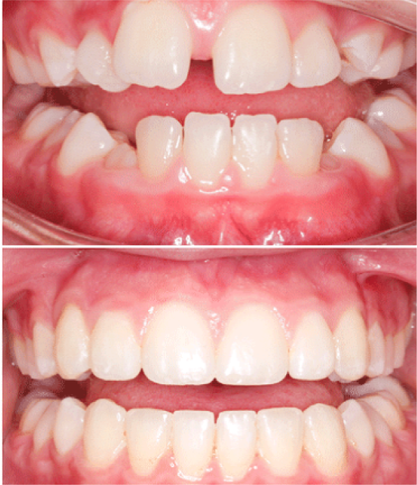
    Invisalign in Karachi at Dr Anam’s Dental Clinic & Aesthetics

    A subtle, smart way to achieve a straight smile

    Achieve a brighter smile with simple, long-lasting aligner treatments. Straighten your teeth naturally using our custom-made clear aligners and braces. 

    Advantages of Invisalign

    • Clear and discreet
    • No wires or brackets
    • Easy to eat, drink, and clean
    • Personalized for effective results
    • Quicker treatment than traditional braces

    At Dr. Anam's Dental Clinic, we offer Invisalign—a discreet and comfortable way to straighten your teeth. Using custom-made, clear aligners, Invisalign gradually shifts your teeth without metal braces. Removable for easy eating and cleaning, Invisalign provides a personalized, effective solution for a straighter smile in less time. Achieve the smile you’ve always wanted with the flexibility and comfort of clear aligners.

    Book your consultation

    book now