• home
  • About
  • Services
  • Blogs
  • Get in touch
  • Gum Recession Treatment

    Gum Recession Treatment in Karachi at Dr Anam’s Dental Clinic & Aesthetics

    The first step toward potential bone loss

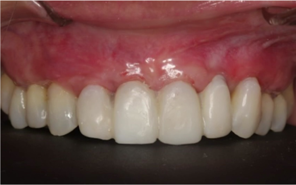
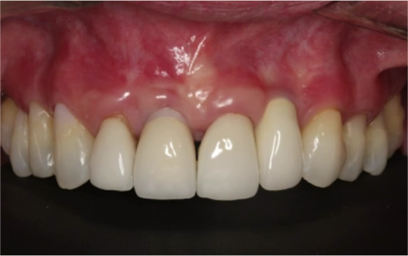
    Gum recession is a common dental issue where the gums gradually pull back from the teeth, exposing the underlying roots. This condition can lead to various gum problems, including gingivitis and periodontitis, if left untreated. 

    Advantages of Gum Recession Treatment

    • Prevents worsening of gum recession
    • Reduces the risk of gum disease
    • Enhances the gum line for a healthier smile
    • Relieves discomfort from exposed tooth roots
    • Helps prevent further bone loss

    Gum recession treatment helps restore and protect your gums, preventing further damage and tooth sensitivity. Our skilled team uses advanced techniques like gum grafting, laser therapy, and deep cleaning to treat gum recession, improve your gum line, and reduce the risk of gum disease. Early treatment ensures the health and longevity of your smile.

    Book your consultation

    book now